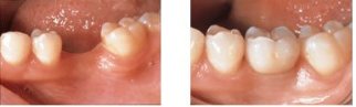
Implantáció
Az implantátumok biológiailag semleges titánból készülnek, felszínük speciális eljárás során kiváló rögzülést biztosít a csontos környezethez. A foghiányok helyére,
az állkapocsban kerülnek elhelyezésre (implantálásra). A beültetést követően kb. 12 hét gyógyulási időre van szükség, mialatt a csont benövi az implantátumot, és így az biztosan rögzül a csontban.
A gyógyulási időt követően kerül sor a felépítmény elkészítésére, melyet becsavarnak a mesterséges foggyökérbe, és minderre kerül a látható pótlás, a korona vagy hídtag.
A fogbeültetés egyik legfontosabb eleme annak megtervezése, az egész szervezet általános egészségi állapotának felmérése.
Nem mindenkinek, és nem minden fogpótlásnál lehet, és kell implantálni.
Az implantáció sikerességét, élettartamát nagymértékben befolyásolják általános betegségek, mint a cukorbetegség, a szív- és keringési rendszer megbetegedései, a csontbetegségek.
Amennyiben semmi sem szól az implantálás ellen, úgy érzéstelenítés alatt kerülnek behelyezésre a mesterséges foggyökerek. Az, hogy kinek hány implantátumra van szüksége, azt egyénre szabottan a pótlandó
foghiány nagyságától függően tudjuk meghatározni. Nagyobb foghiányok esetén nem szükséges minden fog helyére implantátum behelyezése, csupán a kívánt hosszúságú híd rögzítéséhez elegendő számú.
A Medconnexus Gyógyászati Központ az egyik legnevesebb piacvezető implantátumgyártó, a svájci "Straumann" cég termékeit alkalmazza. Hiszen ezen beavatkozások kapcsán semmiféle kompromisszumnak nincs helye.
| Előtte | Utána |
|
|
| Előtte | Utána |
|
|
| Előtte | Utána |
|
|




