Fogkő-eltávolítás
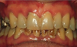
A fogkő elmeszesedett lepedék. Erősen tapad a fog felszínéhez, valamint a fogpótlásokhoz is. Megkülönböztetünk az ínyszélhez viszonyítva íny feletti, és íny alatti fogkövet.
Az íny feletti fogkő sárgásfehéres színű, melyet a dohányzás és a különböző ételszínezékek feketén elszínezhetnek. Az íny alatti fogkő sötétbarna színű. Szabad szemmel nem látható.
A felhalmozódó lepedék, valamint a fogkő ínygyulladáshoz vezet.
A gyulladás súlyosbodásával krónikus ínygyulladás alakul ki. Ha a gyulladás a fogágy mélyebb szöveteire terjed, az íny sorvadásához, majd csontpusztuláshoz vezet.
Ultrahangos fogkőeltávolítás (depurálás)
A Medconnexus Gyógyászati Központban a svájci piacvezető EMS ultrahangos fogkőeltávolító berendezést alkalmazzuk. A készülék az ultrahang frekvenciájának megfelelő rezgésszámmal rezeg. A rezgések hatására képződő légbuborékok, összeesésük révén, porrá zúzzák a fogköveket. A rezgési energia hőt termel, így a kezelés során a készüléket vízzel folyamatosan hűteni kell. Az ultrahangos depurálás nem károsítja a fogzománcot. Erős fognyaki érzékenység esetén helyi érzéstelenítést alkalmazunk az esetleges fájdalom elkerülése miatt. A fogkő eltávolítását egy fogfehérítő készítménnyel történő polírozás követi. Pacemekerrel rendelkező betegnél szigorúan tilos a használata, mivel megzavarja a szívritmus- szabályozó elektronikáját.




