Implantate
Information über die Implantaten
Implantate sind mittlerweile in vielen Fällen Grundlage für folgende Zahnersatzbehandlungen (Brücken, Kronen).
Dennoch betonen wir, dass bei jedem Patienten individuell geklärt werden muss, ob bei der Zahnersatzbehandlung das Einsetzen von Implantaten in den Kieferknochen möglich ist.
Zur Beurteilung ist eine Panorama-Röntgenaufnahme, eine persönliche Voruntersuchung und in Einzelfällen eine Cone-Beam-CT- Aufnahme notwendig.
Falls alle Voruntersuchungen positiv sind, können die Implantate in der gleichen Behandlungssitzung gesetzt werden.
Das Implantationsverfahren wird unter lokaler Anästhesie durchgeführt.
Kronen und Brücken können nach ca. 8-12 Wochen auf das Implantat gesetzt werden.
Der Aufbau der Kronen bzw. Brücken erfolgt während eines zweiten Besuchs und nimmt ca. 5-8 Tage in Anspruch.
Wir verwenden Implantate der schweizer Firma STRAUMANN.
STRAUMANN ist die etablierteste Firma in der Implantologie.
Weitere Informationen unter: www.straumann.ch
Die Kosten des Implantationsverfahren:
- Voruntersuchung: gratis
- Panorama-Röntgenaufnahme: 27,-Euro
- Implantationsverfahren: 900,-Euro/Implantat inklusive Aufbau
- (inclusive alle Behandlungschritte, die zum Implantationsverfahren gehören, inclusive alle Materialkosten und inclusive Kaufpreis des Implantates /Typ:Straumann/)
- Kronen bzw. Brückenglieder, die auf das Implantat aufgebaut werden 160,-Euro/pro Krone bzw. pro Brückenglied (inclusive Behandlungskosten, Labor- und Materialkosten)
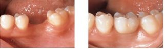
Vorher | Nachher |
![]() |
|
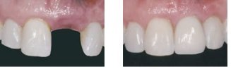
Vorher | Nachher |
![]() |
|
Vorher | Nachher |
![]() |
![]() |